Стоматологическая реабилитация пациентки с множественными проблемами
Многоэтапное протезирование с имплантацией и лечением хронических очагов инфекции обеспечивает полное восстановление зубных рядов и высокое качество жизни пациентки.
Жалобы и анамнез
Пациент: Женщина, 58 лет.
Первичные жалобы (ноябрь 2024 года)
Пациентка обратилась с жалобами на регулярное припухание десны и выделение гнойного содержимого в области левого верхнего моляра (зуб 26). Также отмечала неудовлетворительное состояние старых коронок, нарушение их прилегания, убыль десны. Отсутствие больших жевательных зубов на нижней челюсти. Активных болевых ощущений не было, но присутствовал хронический дискомфорт и эстетическая неудовлетворённость.
Анамнез заболевания
Из анамнеза выяснено, что зуб 26 был эндодонтически лечен и покрыт коронкой более 20 лет назад. Пациентка длительное время не посещала стоматолога для профилактических осмотров. Имелись множественные старые реставрации, коронки, часть зубов была девитализирована (удалён нерв) с применением резорцин-формалинового метода, что является устаревшей методикой. Пациентка отмечала, что ранее проводилось протезирование, но со временем коронки потеряли герметичность.
Общий анамнез
Соматически относительно здорова. На момент осмотра общее состояние удовлетворительное. Вредные привычки: курение табачных изделий по 1 пачке в день.
Осмотр
При визуальном осмотре и зондировании выявлено:
- Состояние мягких тканей: Слизистая оболочка полости рта бледно-розовая, умеренно увлажнена. В области зуба 26 — отёчность и гиперемия десны, свищевой ход с отделяемым.
- Состояние зубных рядов:
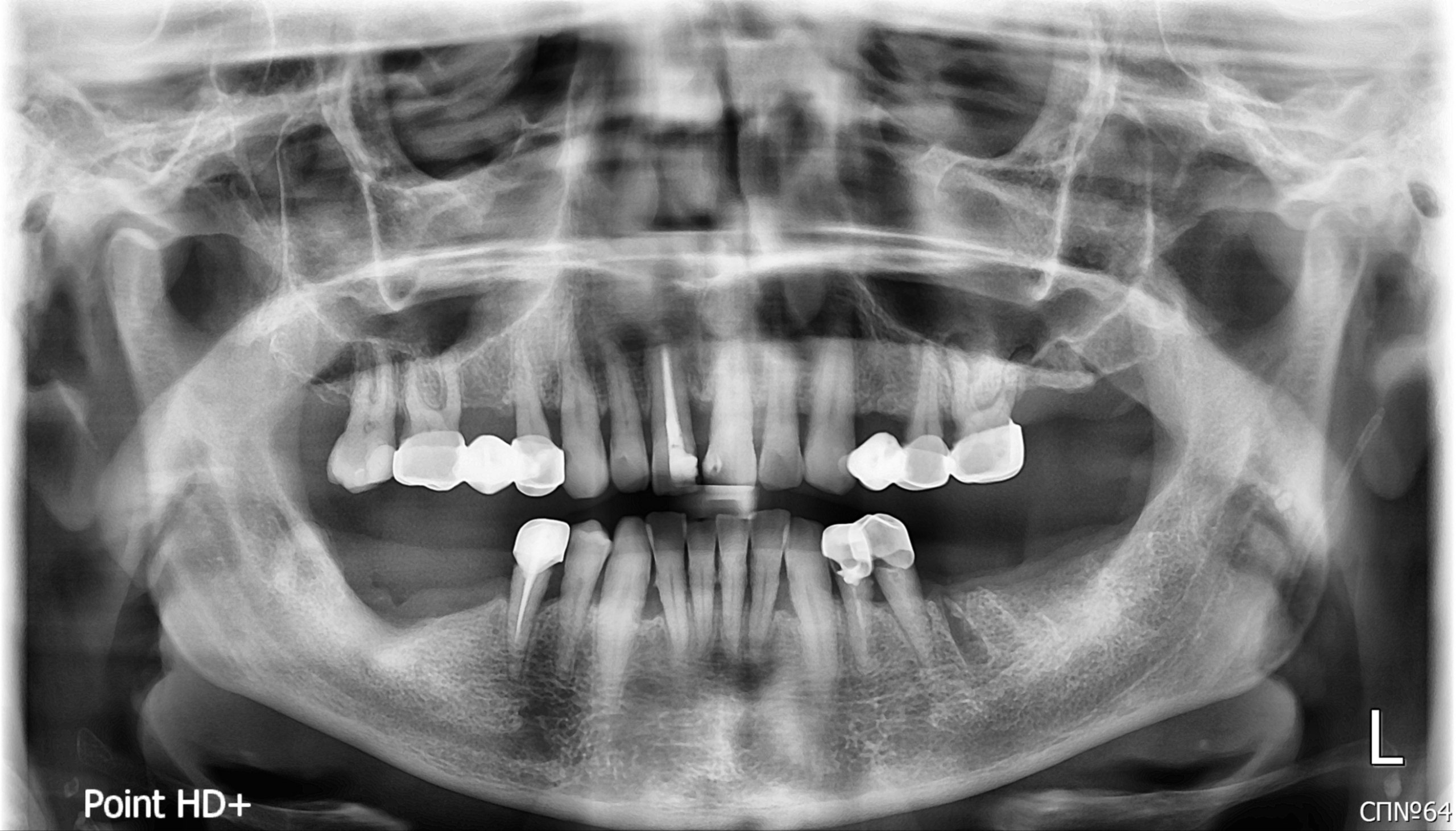
- верхняя челюсть: Зуб 11 – покрыт пломбой, изменен в цвете (темный окрас), развернут вдоль вертикальной оси наружу.
- зубы 16-15, 24-26 — под старыми конструкциями (металлокерамические мосты и коронки).
- при обследовании выявлены: кариозные поражения (13, 17), несостоятельные пломбы, признаки хронического воспаления у верхушек корней (периодонтит) зуб 26.
- нижняя челюсть: Отсутствуют жевательные зубы 38, 37, 36, 46, 47 48 . Зубы 33, 32, 31, 41, 42, 43, 44 требуют ортопедического лечения. Коронки на зубах 34, 35 — штампованные, с нарушением прилегания и рецессией десны до 3 мм. Зубы 34, 35, 45 — девитальные, с признаками некачественного эндодонтического лечения (резорцин-формалиновый метод). - Функциональные пробы: Перкуссия зуба 26 умеренно болезненна. Пальпация по переходной складке в проекции корней болезненна. Подвижность зуба 26 — I степени.
Обследование
Для составления точного плана лечения проведено комплексное обследование:
- Компьютерная томография (КЛКТ) челюстно-лицевой области: на 3D-снимках детально визуализированы:
- состояние костной ткани, её объём и плотность в областях отсутствующих зубов (36, 46) для планирования имплантации;
- признаки хронического воспаления у верхушек корней зуба 26 (периапикальные разрежения костной ткани);
- качество ранее проведённого эндодонтического лечения (в каналах зубов 26, 34, 35, 45 следы пломбировочного материала не определялись или были неудовлетворительными);
- анатомические особенности: у зуба 26 выявлено 4 канала, в дистальном корне — апикальное искривление, в медиальном — возможная трещина в области фуркации (разветвления), устье дополнительного канала (MB2) не обнаружено;
- генерализованная убыль альвеолярной кости на 1\2 длины корней зубов (Хронический пародонтит). - Диагностическое восковое моделирование (Wax-Up): для зубов 13, 12, 11, 21, 22 и планируемых коронок на нижней челюсти выполнены восковые модели будущих реставраций. Это позволило оценить будущую эстетику, функциональность и согласовать план лечения с пациенткой.
- Фотопротокол: выполнены серии внутри- и внеротовых фотографий до лечения, фиксирующие исходную ситуацию.


Диагноз
На основании жалоб, анамнеза и данных обследования были установлены следующие диагнозы по Международной классификации болезней (МКБ-10):
- К04.5 — Хронический апикальный периодонтит. Это хроническое воспаление тканей, окружающих верхушку корня зуба, возникшее как осложнение невылеченного пульпита или некачественного лечения корневых каналов. Проявляется образованием очага разрушения костной ткани (кисты или гранулёмы), что и было выявлено у пациентки на зубе 26.
- К02.1 — Кариес дентина. Глубокий кариес, при котором разрушение затрагивает не только эмаль, но и расположенный под ней дентин (основную ткань зуба). Выявлен на зубах 13, 17, 34, 35.
- Z01.2 — Стоматологическое обследование. Код, используемый при профилактических или контрольных осмотрах, когда у пациента нет активных жалоб, но проводится плановая санация или наблюдение.
- К07.6 — Состояния, связанные с адентией (отсутствием зубов). К данной группе можно отнести состояние после потери зубов 36 и 46, требующее восстановления целостности зубного ряда.
Лечение
Разработан и последовательно реализован комплексный план лечения, включающий несколько этапов:
- Подготовительный этап (ноябрь-декабрь 2024):
- Профессиональная гигиена полости рта (ультразвуковое удаление зубного камня, обработка системой Air-Flow, полировка).
- Эндодонтическое лечение: На зубе 26 проведено повторное лечение корневых каналов (ре-эндо) с механической и медикаментозной обработкой, временным пломбированием лечебной пастой на основе гидроокиси кальция для купирования воспаления. Однако, в связи с выявленными анатомическими сложностями (искривление корня, возможная трещина, необнаруженный канал) прогноз для зуба 26 был признан сомнительным. Пациентке предложены варианты: удаление с последующей имплантацией или попытка сохранения зуба , но без гарантии долгосрочного результата.
- Терапевтическое лечение: Лечение кариеса зубов 13, 17, 34, 35. На зубах 34, 35 удалены старые коронки, выполнена реставрация композитным материалом и стекловолоконными штифтами (билдап). - Хирургический этап:
- Имплантация: В области отсутствующих зубов 36 и 46 нижней челюсти установлены дентальные имплантаты системы Osstem. - Ортопедический этап:
- Поэтапное ортопедическое восстановление зубов циркониевыми мостовидными протезами и коронками в области жевательных зубов сначала верхней челюсти, поочередно с левой и с правой сторон в области зубов (26,25,24,23 и 16,15,14).
- Далее ортопедическое восстановление зубов циркониевыми мостовидными протезами и коронками в области жевательных зубов и имплантов (36,35,34,45,46).
- По итогам проведенного протезирования в области жевательных зубов, пациентка проявила желание восстановить оставшиеся фронтальные зубы верхней и нижней челюсти для решения эстетического запроса.
- В результате зубы (13, 12, 11, 21, 22, 33, 32, 31, 41, 42, 43, 44) также покрыты циркониевыми ортопедическими конструкциями с предварительным цифровым моделированием изготовлением временных пластмассовых реставраций в процессе лечения.

Операция (дентальная имплантация)
Дата: 04.02.2025.
Локализация: Область отсутствующих первых моляров нижней челюсти (зубы 36 и 46).
Протокол: Двухэтапная имплантация с отсроченной нагрузкой.
Ход операции (кратко):
- Под местной анестезией выполнен разрез и отслоение слизисто-надкостничного лоскута.
- Последовательно сформированы костные ложа с использованием хирургических шаблонов.
- Установлены два дентальных имплантата (система Osstem) в позициях 36 и 46.
- Установлены заглушки. Лоскут уложен на место и ушит.
- Послеоперационный контрольный снимок подтвердил правильную позицию имплантатов.
Наглядные материалы: В клиническом случае представлены: хирургический шаблон для позиционирования имплантатов, интраоперационные фотографии установленных имплантатов, послеоперационная КЛКТ для контроля положения.
Послеоперационный период и результаты
- После имплантации: Заживление протекало без осложнений. Швы сняты через 10 дней. Отёк и дискомфорт купировались в течение 3-5 дней на фоне приёма нестероидных противовоспалительных средств и антисептических полосканий.
- Период интеграции: В течение 4 месяцев имплантаты успешно интегрировались в костную ткань (остеоинтеграция), что подтверждено контрольной КЛКТ и клиническим отсутствием подвижности.
- После фиксации постоянных конструкций (июль 2025): На контрольном осмотре через 2 недели после фиксации всех постоянных конструкций жалоб у пациентки не было. Отмечалась хорошая гигиена полости рта. Десневой край вокруг коронок и имплантатов адаптировался, воспалительных явлений нет. Винты коронок на имплантатах 36, 46 были затянуты с окончательным моментом силы (30 Н*см), шахты винтов закрыты фторопластовой лентой и композитным материалом.

- Итог: Проведена полная комплексная реабилитация: восстановлена целостность зубных рядов, жевательная функция и эстетика. Пациентка обучена правилам гигиены и наблюдается по индивидуальному графику профилактически осмотров.