Многоэтапное лечение с применением адгезивных технологий: от устранения сколов до планирования тотального протезирования
Пациентка 56 лет обратилась с жалобами на сломанные пломбы, в ходе лечения ей были изготовлены циркониевый мостовидный и съемный ацеталовый протезы верхней челюсти.
Врач
Овсепян Каро Варданович
стоматолог-ортопед, стоматолог-терапевт
Жалобы и анамнез
Пациентка: женский пол, 56 лет, педагог.
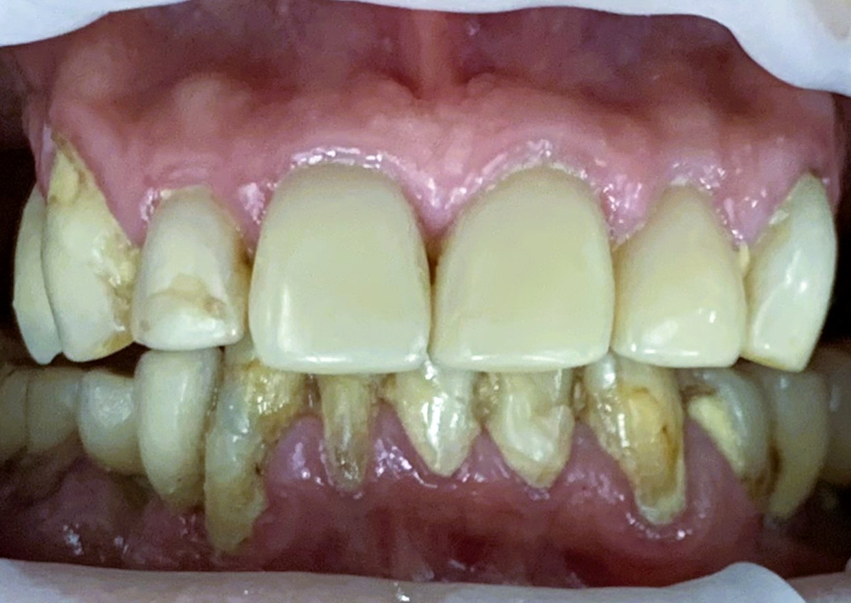
Жалобы: Острая жалоба в момент обращения на сломанные пломбы в области верхних центральных зубов (зубы 11, 21) в результате падения. Жалоба эстетического характера на внешний вид всех оставшихся зубов (13,12,11,21,22,23). Старый съемный протез верхней челюсти натирает десну и плохо держится.
Анамнез: Ранее более 5 лет назад в сторонней клинике зубы лечены по поводу осложнений кариеса: депульпированы и восстановлены композитными реставрациями. В тот же период изготовлен съемный протез верхней челюсти.
Осмотр
Общий статус:
- Состояние удовлетворительное.
- Открывание рта свободное.
- Регионарные лимфатические узлы безболезненны.
- Симметрия лица не нарушена.
- Прикус патологический (вторичная адентия, микрогнатия, глубокое резцовое перекрытие)
- Пародонтит. Неудовлетворительная гигиена полости рта.
Локальные находки (по визитам):
- Подвижность старых реставраций, сколы пломб, вторичный кариес.
- Рецессия десны 3–6 мм в области зубов 32–44.
- ИРОПЗ (индекс разрушения окклюзионной поверхности зуба) превышал 0,5–0,9
- На рентген исследовании обнаружен дезинтегрированный дентальный имплант расположенный в правой верхнечелюстной пазухе. Без следов локального воспаления и жалоб со стороны пациентки.
Обследование
Проводились:
- Осмотр полости рта с дополнительными инструментами.
- Ортопантомограмма (ОПТГ).
- Конусно-лучевая компьютерная томография (КЛКТ).
- Вторичный кариес под старыми реставрациями.
- Гомогенная обтурация корневых каналов зубов (13,12,11,21,22,23). Периапикальные ткани и периодонтальные щели без видимых патологий.
- На ОПТГ: кариес корня зуба 32, требующий удаления.

Диагноз
По МКБ-10:
- K02.1 – Кариес дентина (поражение твёрдых тканей зуба с вовлечением дентина).
- K08.8 – Другие уточнённые изменения зубов и их опорного аппарата (включая сколы коронковой части).
- Z01.2 – Стоматологическое обследование (профилактический осмотр или обследование без выявленной патологии).
Лечение
Консервативное и восстановительное лечение включало в себя:
- Механическая и медикаментозная обработка кариозных полостей.
- Установка стекловолоконных штифтов (СВШ) для укрепления коронковой части.
- Адгезивная система с протоколом тотального травления.
- Композитные реставрации по спиртовому протоколу адгезии.
- Цифровое моделирование мостовидного протеза, печать моделей на 3D-принтере.
- Изготовление мостовидного циркониевого протеза в области зубов (13,12,11,21,22,23).
- Изготовление съёмного протеза верхней челюсти.
- После получения удовлетворительного результата, пациенткой проявлен интерес продолжению лечения в области зубов нижней челюсти.
Обращения (в хронологическом порядке):
- Осмотр, диагностика, составлен план лечения. Временное восстановление зубов 11,21. Получены оттиски для цифрового моделирования будущего циркониевого мостовидного протеза в области зубов (13,12,11,21,22,23).


- Презентация пациентке распечатанного на 3D-принтере макета будущего мостовидного протеза в области зубов (13,12,11,21,22,23).
- Подготовка зубов (13,12,11,21,22,23) для протезирования под мостовидный протез. Удалены предыдущие реставрации, удалены кариозные поражения, установлены стекловолоконные штифты, выполнены композитные надстройки культей зубов. Зубы обточены под мостовидный протез. Получены новые оттиски. Изготовлен временный пластмассовый мостовидный протез сразу после обточки зубов, по силиконовому ключу с распечатанного на 3D-принтере макета.




- Примерка и постоянная фиксация циркониевого мостовидного протеза в области зубов (13,12,11,21,22,23). Получены оттиски для изготовления нового съемного протеза верхней челюсти (Ацеталовый протез Квадротти).
- Регистрация прикуса шаблон валиками. Оттиски при помощи лабораторных индивидуальных ложек.
- Примерка диагностической постановки зубов на воске.


- Сдача протеза верхней челюсти. Даны рекомендации по ношению и гигиене протеза.
- Коррекция протеза.
Данный объем работ осуществлен почти за два месяца.
Заключение
В данном клиническом случае продемонстрирован комплексный подход к лечению пациента с множественными стоматологическими проблемами: вторичным кариесом, сколами коронковой части зубов, необходимостью ортопедической коррекции. Лечение проводилось поэтапно, с учётом пожеланий пациентки и клинической целесообразности. Достигнут удовлетворительный функциональный и эстетический результат. Ниже мы наблюдаем счастливую улыбку довольного пациента.

И протез на верхней челюсти.

Через несколько месяцев планируем начать работы по восстановлению нижней челюсти.
